신정네거리역치과
사랑니 발치가 걱정되신다면?

신정네거리역치과
겉으로는 큰 문제가 없어 보여도
사랑니가 바로 앞의 어금니에 걸쳐 있는 경우,
두 치아 사이에 깊은 틈이 만들어지면서
음식물과 세균이 반복적으로 쌓이게 되는데요.
이 공간은 칫솔이 닿기 어렵고,
관리도 쉽지 않아
어느 순간 인접치 충치로
이어지는 경우가 매우 흔합니다.
실제로 오늘 소개해드릴 케이스에서도
사랑니로 인해
앞 어금니에 충치가 발생하여
사랑니 발치와 더불어
충치치료를 진행하였는데요.
신정네거리역치과
삼성플란트치과의 치료사례!
함께 살펴보시겠습니다.
✅ 초진

신정네거리역치과

신정네거리역치과
오늘 소개해드릴 분은
충치가 있는 것 같고,
전체적으로 이가 욱씬거린다며
본원을 찾아주셨는데요.
검진을 해보니,
전체적으로 잇몸이 부어있었고
4개의 사랑니와
왼쪽 아래 큰 어금니의 충치를
관찰할 수 있었습니다.

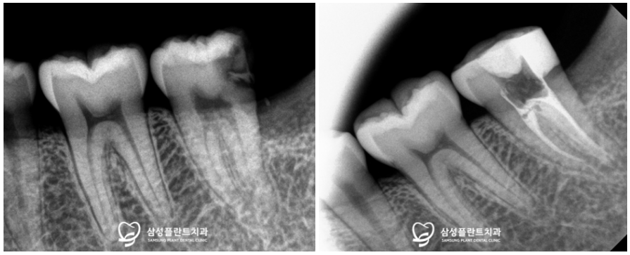
엑스레이 사진 촬영 후
사랑니의 위치 및 방향을
꼼꼼하게 체크해보았는데요.
아래쪽 2개는 기울어지고
일부가 매복된 상태로 자리잡고 있었고,

신정네거리역치과
왼쪽 아래 두번째 큰 어금니의 인접면엔
사랑니로 인해
충치가 생긴 상태였답니다.

신정네거리역치과
조금 더 정밀한 체크를 위해
치근단 사진을 촬영해 체크해보니,
사랑니로 인한 인접면 충치를
확연하게 체크할 수 있었습니다.
기울어진 사랑니 때문에
충치가 육안으로 잘 관찰되지도 않아,
해당 케이스처럼
충치가 심해진 경우에야
환자분께서 알아차리는 경우가 많답니다..!
해당 치아는 충치가 깊어
신경치료 + 크라운 수복이 필요했습니다.
[치료계획]
📌 전체적으로 스케일링
📌 4개의 사랑니 발치
📌 왼쪽 아래 두번째 큰 어금니는
신경치료 후 크라운 수복
치료계획을 환자분께 꼼꼼하게 설명드린 후
치료를 시작했습니다.
✅ CT 정밀분석

신정네거리역치과
그리고 발치 전엔 CT 사진을 통해
사랑니의 위치 및 방향, 매복된 정도,
신경관의 위치 등
여러가지 부분을 면밀하게 체크해주었습니다.
삼성플란트치과는 매복 사랑니 발치 시
반드시 CT 사진을 통한
정밀 분석을 시행하고 있는데요.
면밀하게 분석한 진단 정보를 바탕으로
환자 개개인의 구강 상태에 적합한
맞춤 계획을 수립하고 있으며,
보다 성공적이고 예측 가능한
결과를 도출해내고 있답니다!

신정네거리역치과
더불어 사랑니를 발치하고 나서
왼쪽 아래 어금니는
신경치료를 깔끔하게 진행했습니다.
✅ 4개 사랑니 발치 + 인접치 충치치료 완료

신정네거리역치과
신경치료 후에는
어금니가 약해지지 않도록
내부를 단단히 보강한 뒤
크라운(보철물)을 씌워 마무리 해주었답니다.
스케일링과 4개의 사랑니 발치도
깔끔하게 마무리 된
치료 후 모습입니다! 👍
발치 시엔 왼쪽 위아래를 먼저 발치하고
충분히 아물고 나서
오른쪽 위아래를 발치하여
환자분의 불편함을 줄여드렸습니다.
환자분께서 걱정을 많이 했는데
생각보다 발치할 때 아프지도 않았고,
뽑고 나니 속이 후련하다며
감사의 인사를 전해주셨답니다.
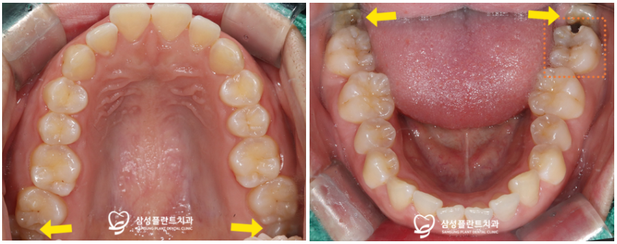
✅ 전 -> 후

2024.11.11 ㅡ> 2025.01.31
이렇게 사랑니 발치와
인접한 어금니의 충치치료를 도와드린
치료 사례를 소개해드렸는데요.
이렇게 사랑니로 인해
단순히 사랑니 자체만의
문제 뿐만 아니라,
멀쩡했던 어금니에도 충치가 생기는 등
악영향을 주는 사례가 많답니다..!
그러므로 사랑니에
조금이라도 불편함 및 통증이 있거나
올바르지 못한 형태로 자란 경우라면,
미루지 말고
빠른 시일내에 치과에 방문하여
진단을 받으시길 바랍니다.
*모든 증례 사진은 의료법 제23조, 제 56조에 의거하여,
당사자의 동의하에 게시하였습니다.
*치료 사진은 모두 본.원에서 치료한 환.자분의 사진입니다.
*치료 사진은 모두 동일인의 사진이며, 동일조건에서 촬영하였습니다.
*개인의 차이에 따라 시.술 및 수술 후 부작용이 발생할 수 있으며,
의료진과 충분한 상.담을 받으시기 바랍니다.