신정네거리치과
왼쪽 위 어금니가 불편해요!

신정네거리치과
임플란트 치료 시
뼈가 부족한 경우엔,
본원에서는 구강 내 상황을 체크하여
자가혈 이식(CGF)을 고려하기도 합니다.
CGF란 환자 본인의 혈액을 활용하여
혈소판과 다양한 성장인자를 농축한 뒤,
잇몸뼈가 부족한 부위에
적용하는 치료 방식인데요.
뼈 이식이 필요한 경우
효과적인 방법으로,
회복 속도를 높이고
전체 치료 기간을 단축시키는 데
긍정적인 역할을 합니다.
오늘은 목동임플란트치과
삼성플란트치과에서
✔ 자가혈을 이용한 뼈이식 + 임플란트 치료
✔ 사랑니 발치를 도와드린
사례를 소개해드리려고 합니다!
💛 초진

신정네거리치과
오늘 소개해드릴 분은
노란색 표시의
왼쪽 위 어금니가 아프고,
사랑니가 나는 것 같다며
본원을 찾아주셨습니다.
주말 동안 통증이 심해졌다고 하셨으며,
기존에 다니던 치과에서는
6개월마다 정기검진을 권유받았지만
일정상 방문하지 못한 상태였다고 합니다.
더불어 입냄새 개선을 위해
스케일링도 함께 원하셨습니다.

신정네거리치과
파노라마 사진을 촬영해 체크해보니
불편을 호소하는
노란색 표시의 어금니는
잇몸뼈가 녹고 염증소견도 관찰되었습니다.
또한 매복된 사랑니(주황색 표시)도
확인할 수 있었답니다.

신정네거리치과
더욱 정밀한 체크를 위해
3D-CT 촬영을 통한 정밀 분석도 시행하였고,
사랑니 발치와 함께
환자분께서 불편을 느끼고 있는 치아는
발치 후 임플란트 식립을
진행하기로 계획했습니다.
그리고 향후 임플란트를
식립해야 할 부위의
뼈 양이 부족한 상태라
발치 후 뼈이식을 먼저 진행하기로 했답니다.
* 두번째 어금니는
1) 치아를 살리기 위한 신경치료 시도
2) 발치 후 임플란트
2가지 방안을 권유드렸는데요.
환자분께서 발치 후
임플란트 방법을 선택하셨고,
충분한 소통 후 치료계획을 수립하였답니다. ^^

신정네거리치과
전체적으로 스케일링을 시행하고
두번째 어금니와 사랑니를
깔끔하게 발치해준 모습입니다.
발치 후에는
추후 임플란트 수술을 진행할 수 있도록
자가혈청을 이용한 뼈이식을 진행했습니다.
* 임플란트는 단순히
잇몸 위에 식립하는 것이 아니라,
치아 뿌리 역을 하는 구조물을
뼈 속에 단단히 심어야 합니다.
만약 뼈가 부족한 상태에서
바로 임플란트를 식립하게 된다면
고정력이 떨어지거나,
장기적으로 예후가 좋지 않을 수 있기에
부족한 뼈를 보충해주는
뼈이식이 필요하답니다.

신정네거리치과
3D-CT 정밀 분석을 통해
식립할 임플란트의 위치 및 방향등을
꼼꼼하게 체크한 후
수술을 진행했습니다.
발치 및 뼈이식을 진행하고
4개월의 충분한 회복 기간을 거친 뒤
임플란트 수술을 진행한 모습입니다.

신정네거리치과
추후 임플란트가
뼈와 잘 결합되는 기간을 거친 뒤
2차 수술을 진행하였고,
이후 본을 떠서 임시치아를 장착해드렸습니다.
임시치아를 약 한달간 사용하면서
불편함이 없는지 확인한 후,
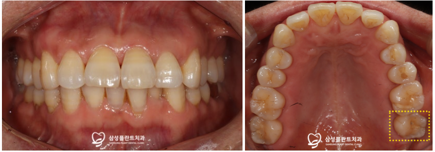
최종 보철물 셋팅까지 잘 마무리해드렸습니다!
환자분께서 한동안 왼쪽으로
아예 식사를 못하셨는데,
이제 불편함이 모두 사라졌다며
만족해하셨답니다.
또한 스케일링 후
입냄새도 줄어들었으며,
전반적인 구강 건강도 크게 향상되었습니다.

2024.01.08 ㅡ> 2024.10.31
이렇게 뼈가 부족한 경우였지만
자가혈을 이용한 뼈이식을 통해
안정적인 임플란트 치료를 도와드렸고,
사랑니도 깔끔하게 발치를 도와드린
사례를 소개해드렸습니다.
임플란트 뼈이식은
잇몸뼈의 양과 질, 전신 건강 상태 등
여러 요소에 따라 접근이 달라지기 때문에,
수술 전 이식 범위와 사용 재료를
신중히 선택하는 과정이 필요한데요.
본원에서는 정밀 검사를 바탕으로
구강 상태를 면밀히 확인하고,
환자에게 적합한 치료 계획을 수립하고 있어
안정적인 치료결과를 보여드리고 있답니다! 👍
임플란트는 편안한 저작 뿐만 아닌
자신감을 회복하는 중요한 첫걸음입니다.
목동임플란트치과 삼성플란트치과의
정밀한 진단과 꼼꼼한 진료로
불편함 해소와 만족감을
얻어가시길 바랍니다! 🦷
*모든 증례 사진은 의료법 제23조, 제 56조에 의거하여,
당사자의 동의하에 게시하였습니다.
*치료 사진은 모두 본.원에서 치료한 환.자분의 사진입니다.
*치료 사진은 모두 동일인의 사진이며, 동일조건에서 촬영하였습니다.
*개인의 차이에 따라 시.술 및 수술 후 부작용이 발생할 수 있으며,
의료진과 충분한 상.담을 받으시기 바랍니다.